Living Materials Approach for In Situ Bio-Polymers Production Using Bacillus Paralicheniformis in Microneedles
Caroline Hali Alperovitz, Noa Ben David, Adi Gross and Boaz Mizrahi
Living Microneedles for Intradermal Delivery of Beneficial Bacteria
Caroline Hali Alperovitz*, Noa Ben David*, Yuval Ramot, Adi Gross and Boaz Mizrahi
Mineral Plastics and Gels from Multi-Arm Ionomers
Neta Shimony, Adi Gross, and Boaz Mizrahi
Bioadhesive microneedle patches for tissue sealing
Eden Freundlich*, Neta Shimony*, Adi Gross and Boaz Mizrahi
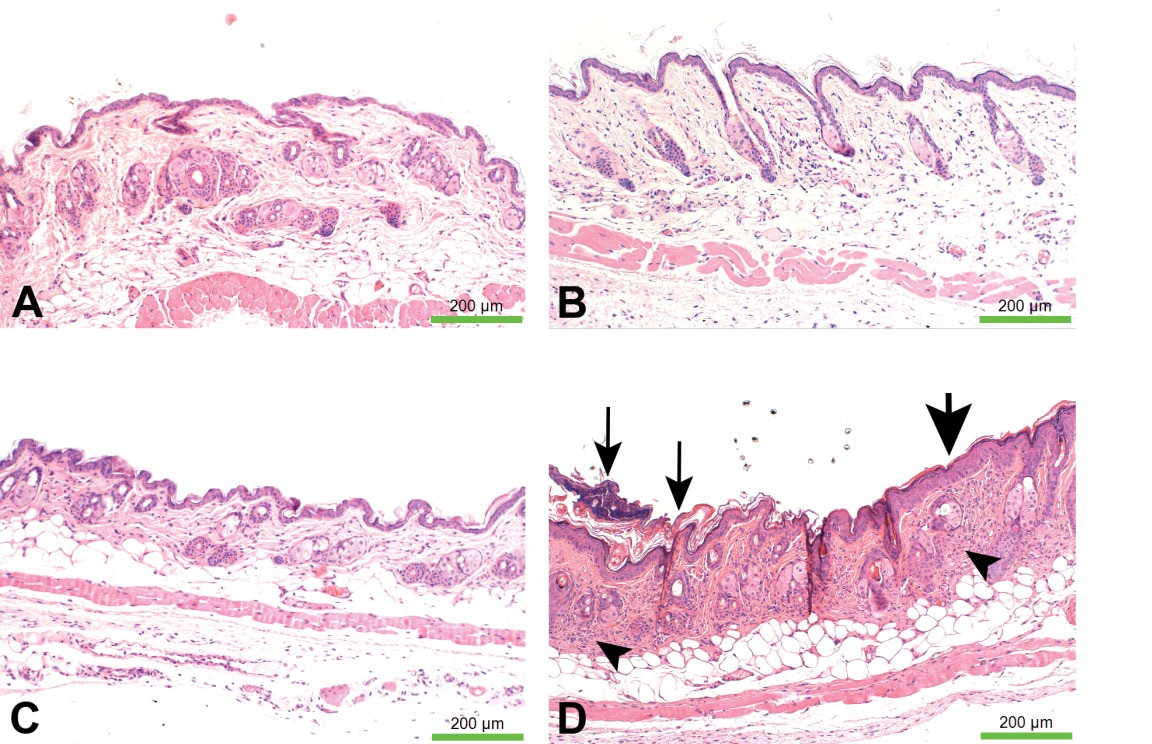
Design and Evaluation of Dissolvable Microneedles for Treating Atopic Dermatitis
Noa Ben David, Yuval Richtman, Adi Gross, Ruba Ibrahim, Abraham Nyska, Yuval Ramot*
and Boaz Mizrahi*
Liquid PEG4-PLLA copolymers: Effect of chirality and molecular weight on mechanical properties
Leonid Galperin, Bat-hen Eylon & Boaz Mizrahi
Skin microbiota dynamics following B. subtilis formulation challenge: an in vivo study in mice
Veronica Moskovicz, Rina Ben-El, Guy Horev & Boaz Mizrahi
Liquid Copolymers as Biodegradable Surgical Sealant
Neta Shimony, Alona Shagan, Bat-hen Eylon, Abraham Nyska, Adi Gross, Boaz Mizrahi
Bacillus subtilis in PVA Microparticles for Treating Open Wounds
Noa Ben David, Mahsa Mafi, Abraham Nyska, Adi Gross, Andreas Greiner*, Boaz Mizrahi*
Injectable Drug Delivery System Based on In Situ Self-Assembly of Liquid Star Polyethylene Glycol–Poly(lactic-co-glycolic acid)
Bat-hen Eylon, Alona Shagan, Ayelet Shabtay-Orbach, Adi Gross, Boaz Mizrahi
Extrinsic Factors Shaping the Skin Microbiome
Veronica Moskovicz, Adi Gross, Boaz Mizrahi
Organogels as a Delivery System for Volatile Oils
Sivan Yogev and Boaz Mizrahi
Light‐triggered stabilization of microgel aggregates
Keren Massuri‐Rodionov, Alona Shagan, Yael Leichtmann‐Bardoogo, Boaz Mizrahi
Two-component cross-linkable gels for fabrication of solid oral dosage forms
Tsuf Croitoru-Sadger, Sivan Yogev, Ayelet Shabtay-Orbach, Boaz Mizrahi
Hot Glue Gun Releasing Biocompatible Tissue Adhesive
Alona Shagan, Wei Zhang, Manisha Mehta, Shira Levi, Daniel S. Kohane,
and Boaz Mizrahi
A new volatile antimicrobial agent-releasing patch for preserving fresh foods
Boris Rozenblit, Guy Tenenbaum, Alona Shagan, Enav Corem Salkmon, Ayelet Shabtay-Orbach,
Boaz Mizrahi
Local Toxicity of Topically Administrated Thermoresponsive Systems: In Vitro Studies with In Vivo Correlation
Sivan Yogev, Ayelet Shabtay-Orbach, Abraham Nyska,
and Boaz Mizrahi
Living Bacteria in Thermoresponsive Gel for Treating Fungal Infections
Maayan Lufton, Or Bustan, Bat-hen Eylon, Ella Shtifman-Segal, Tsuf Croitoru-Sadger,
Alona Shagan, Ayelet Shabtay-Orbach, Enav Corem-Salkmon, Judith Berman,
Abraham Nyska, and Boaz Mizrahi
Near-Infrared Light Induced Phase Transition of Biodegradable Composites for On-Demand Healing and Drug Release
Shagan A, Croitoru-Sadger T, Corem-Salkmon E, Mizrahi B
In Situ Dual Cross-Linking of Neat Biogel with Controlled Mechanical and Delivery Properties
Kelmansky R, Shagan A, Rozenblit B, Omar R, Lufton M, Mizrahi B
Strong tissue glue with tunable elasticity
Kelmansky R, McAlvin BJ, Nyska A, Dohlman JC, Chiang HH, Hashimoto M, Kohane DS, Mizrahi B
Light‐triggered antifouling coatings for porous silicon optical transducers.
Bussi Y, Holtzman L, Shagan A, Segal E, Mizrahi B. Light‐triggered antifouling coatings for porous silicon optical transducers.
Amphiphilic star PEG-Camptothecin conjugates for intracellular targeting.
Omar R, Bardoogo YL, Corem-Salkmon E, Mizrahi B. Amphiphilic star PEG-Camptothecin conjugates for intracellular targeting.
A flexible polymersome system with tunable morphology and release profiles for efficient intracellular delivery.
Croitoru-Sadger T, Leichtmann-Bardoogo Y, Mizrahi B: A flexible polymersome system with tunable morphology and release profiles for efficient intracellular delivery.
Near-infrared–actuated devices for remotely controlled drug delivery.
Timko BP, Arruebo M, Shankarappa SA, McAlvin JB, Okonkwo OS, Mizrahi B, Stefanescu CF, Gomez L, Zhu J, Zhu A, Santamaria J, Langer R, Kohane DS: Near-infrared actuated devices for remotely controlled drug delivery.
Injectable formulations of poly (lactic acid) and its copolymers in clinical use.
Jain A, Kunduru KR, Basu A, Mizrahi B, Domb AJ, Khan W. Injectable formulations of poly (lactic acid) and its copolymers in clinical use.
Long-lasting Antifouling Coating from Multi-Armed Polymer.
Boaz Mizrahi, Xiaojuan Khoo, Homer Chang, Katalina Sher, Jung-Jae Lee, Silvia Irusta and Daniel S. Kohane.
A Stiff Injectable Biodegradable Elastomer.
Boaz Mizrahi, Kathryn A. Whitehead, Brian P. Timko, Mike Lawlor, Robert Langer, Daniel G. Anderson, and Daniel S. Kohane.
Locally Applied Leptin Induces Regional Aortic Wall Degeneration Preceding Aneurysm Formation in Apolipoprotein E–Deficient Mice.
Ming Tao, Peng Yu, Binh T. Nguyen, Boaz Mizrahi, Naphtali Savion, Galina Sukhova, Frank D. Kolodgie, Renu Virmani, C. Keith Ozaki and Jacob Schneiderman.
Preparation and characterization of a novel once-daily formulation of Diltiazem using Arabinogalactan as a channeling agent.
Avraham Avramof, Boaz Mizrahi and Abraham Domb.
Microgels for Efficient Protein Purification.
Boaz Mizrahi, Silvia Irusta, Marshall McKenna, Cristina Stefanescu, Liron Yedidsion, MyatNoeZin Myint, Robert Langer, and Daniel S. Kohane.
Elasticity and Safety of Alkoxyethyl Cyanoacrylate Tissue Adhesives.
Boaz Mizrahi, Cristina F. Stefanescu, Celine Yang, Michael W. Lawlor, Dennis Ko, Robert S. Langer and Daniel S. Kohane.
Evaluation of lipid-based bioerodable tablet compared with Biotene mouthwash for dry mouth.
Doron Aframian, Boaz Mizrahi, Igal Granot and Abraham Domb.
Biocompatibility of a polymeric implant for the treatment of osteomyelitis.
Brin YS, Nyska A, Domb AJ, Golenser J, Mizrahi B, Nyska M.
Anhydride prodrug of ibuprofen and acrylic polymers.
Boaz Mizrahi and Abraham J Domb.
The effect of a mild increase in temperature on tooth bleaching.
Davidi MP, Hadad A, Weiss EI, Domb A, Mizrahi B, Sterer N.
Treatment of osteomyelitis in rats by injection of degradable polymer releasing gentamicin.
Brin YS, Golenser J, Mizrahi B, Maoz G, Domb AJ, Peddada S, Tuvia S, Nyska A, Nyska M.
Synthesis and characterization of polymeric implant for kyphoplasty.
Mizrahi B, Shavit R, Domb A.
Oral malodor reduction by a palatal mucoadhesive tablet containing herbal formulation.
Sterer N, Nuas S, Mizrahi B, Goldenberg C, Weiss EI, Domb A, Davidi MP.
Mucoadhesive polymers for delivery of drugs to the oral cavity-A Review.
Boaz Mizrahi, Abraham J. Domb.
Efficacy of a mucoadhesive patch compared with an oral solution for treatment of aphthous stomatitis.
Shemer A, Amichai B, Trau H, Nathansohn N, Mizrahi B, Domb AJ.
Mucoadhesive tablet releasing iodine for treating oral infections.
Mizrahi B, Domb AJ.
Adhesive tablet effective for treating canker sores in humans.
Mizrahi B, Golenser J, Wolnerman JS, Domb AJ.
Citrus oil and MgCl2 as antibacterial and anti-inflammatory agents.
Mizrahi B, Shapira L, Domb AJ, Houri-Haddad Y.
A new gel for topical use in treating severe periodontal disease—clinical observation.
Wolnerman JS, Bergman Z, Zini A, Mizrahi B, Vered Y, Domb AJ, Mann J.